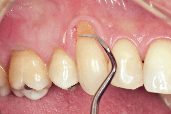
RECOBRIMENTO RADICULAR

Recessão gengival é uma condição bastante comum entre pacientes de ambos os sexos e em diferentes idades, aumentando sua frequência com o passar dos anos. As maiores queixas dos pacientes com recessão gengival são hipersensibilidade radicular e aspecto antiestético.
Para isto, existem diversos tratamentos, sendo as cirurgias de enxerto para recobrimento radicular as mais utilizadas.

A cobertura total das raízes por tecidos gengivais espessos e saudáveis é indispensável para eliminar esses sintomas severos. No entanto, é de grande importância o conhecimento de suas técnicas, indicações e contraindicações, a partir das considerações anatômicas de cada caso.

Na Oral Design você encontra profissionais altamente capacitados para fazer uma avaliação sobre o seu caso. Por isso, nós o convidamos a tirar suas dúvidas sobre saúde e estética gengival.

A Clínica

A Oral Design Taguatinga é a clínica referência em Odontologia estética no Centro Oeste. A clínica foi planejada para proporcionar o maior conforto e comodidade aos nossos clientes. A Oral Design Odontologia Especializada é um clínica moderna reconhecida pela atenção e qualidade com que atende a seus clientes, aliada à experiência e competência dos profissionais que compõem sua equipe.

Redes Sociais
Localização e Contato
  • Taguatinga Norte QNA 54 Ed. Iris Terreo - Taguatinga, Brasília - DF, 72110-540
  • E-mail: danilomrp@hotmail.com
  • Fixo:(61) 3563-2164 
  • WhatsApp:  (61) 98106-6928